Осложнения абсцесса легкого хронического или острого — возможные патологии
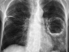
Неспецифический воспалительный процесс ткани легкого, вследствие которого формируется гнойно-некротическая полость, называется абсцессом. Выделяют два типа течения заболевания: острый и хронический. При отсутствии своевременного лечения или под влиянием провоцирующих факторов возможно развитие разного рода осложнений.
Осложнения острого абсцесса легкого
При благоприятном течении, заболевание продолжается не более 6 недель, после дренажа или прорыва полости остается небольшая тонкостенная киста. При наличии сопутствующих патологий или при некачественном лечении развиваются следующие осложнения:
- эмпиема плевры;
- легочное кровотечение;
- сепсис;
- пиопневмоторакс.

Хронического абсцесса
Если абсцесс сохраняется на протяжении 3-4 месяцев, то его течение переходит в хроническую форму. Заболевание при этом характеризуется циклическим чередованием периодов ремиссий и обострений, как правило, осложняется:
- вторичными бронхоэктазиями;
- амилоидно-липоидным нефрозом;
- образованием злокачественной опухоли;
- кахексией;
- септикопиемией;
- вторичными бактериальными инфекциями;
- дыхательной недостаточностью.

Сообщить об опечатке
Текст, который будет отправлен нашим редакторам: